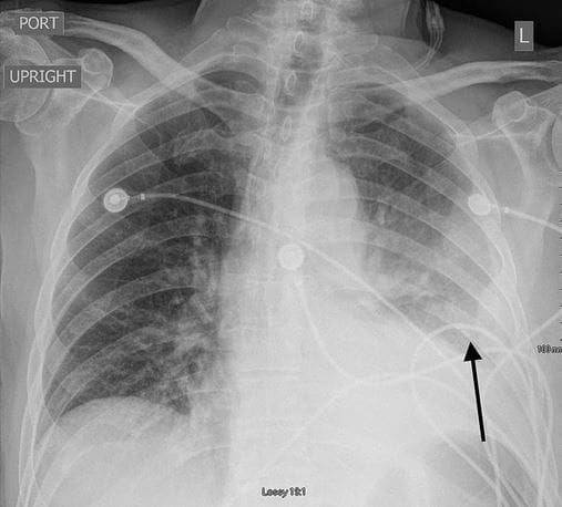
Outre les cas d’inflammations cardiaques (myocardites) qui sont les plus mis en avant, de plus en plus d’études commencent à soulever d’autres effets toxiques des vaccins. Récemment, des cas d’épanchement pleural unilatéral ont été signalés. L’épanchement pleural se caractérise par une accumulation anormale de liquide dans l’espace pleural (la région entre les deux couches de la membrane mince qui recouvre les poumons).
